Knowing as much as possible about your enemy precedes successful battle and. Calcium deposition diseases 1.

Osteochondritis Dissecans Of The Lateral Process Of Talus Involving The Subtalar Joint An Unusual Case The Journal Of Foot And Ankle Surgery
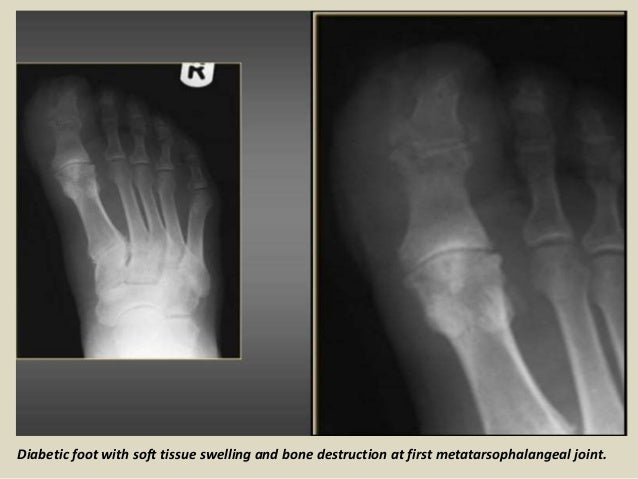
Patients are at high risk of ulceration and amputation so long term follow up is recommended.
Charcot joint radiology ppt. Margins of Q tendon patella pat. It is seen in patients with neurological disorders with sensory loss of the feet including tabes dorsalis leprosy diabetic neuropathy and other conditions involving injury to. If you continue browsing the site you agree to the use of cookies on this website.
Charcot neuro-osteoarthropathy is a degenerative disease with progressive destruction of the bones and joints. The diabetic Charcot foot syndrome is a serious and potentially limb-threatening lower-extremity complication of diabetes. 80 Prevalence increases with the duration of diabetes and the disorder is associated with.
Osteoporosis Ankylosing Spondylitis Multiple Myeloma Metastases HPOA Osteomyelitis Hyperparathyroidism Charcot s Joint. Aponeurosis of v. OSTEOARTHRITISOSTEOARTHRITIS DEFINITION Osteoarthritis OA is a non- inflammatory degenerative joint disease characterised by progressive loss of articular cartilage with associated new bone formation and capsular fibrosis.
Chronic Charcot may be months painless without temperature difference and deformed. In 1868 Jean-Martin Charcot gave the first detailed description of the neuropathic aspect of this disease. The PowerPoint PPT presentation.
Charcot affects the bones joints and soft tissues of the foot or ankle. In adults the use of the term discitis is generally discouraged as isolated infection of the spinal disc is a rare phenomenon. Diagnostic Imaging of Bone Infection.
The bones become weak and can break and the joints in the foot or ankle can dislocate. Finding often associated with joint subluxation or dislocation. There is complete disorganization of the joint fragmentation and subluxation.
X-ray Early absent or subtle finding. Charcots disease neuropathic arthritis is a rare cause of joint destruction. In the foot the most frequent location for a diabetic Charcots joint subluxation is the tarsometatarsal Lisfrancs joints.
In 1703 William Musgrave first described a neuropathic joint as an arthralgia caused by venereal disease. Other bone and joint diseases 1. Other joints may be involved as well including the talonavicular Chopart subtalar and intertarsal joints Figure 4.
A deformed foot can cause pressure sores to develop in the foot or ankle. The Oral Boards Primer OH MY GOD LESIONS VERY BIZARRE LOOKING GENERALIZED LESIONS THAT YOU HAVE NO IDEA WHAT IT IS THINK OF. For this reason terms such as spondylodiscitis or vertebral osteomyelitis are preferred due to their greater accuracy 18.
Spinal neuroarthropathy or Charcot spine is a process of progressive aseptic destruction of the spine that can complicate a variety of neurologic disorders associated with loss of proprioception and pain sensation such as tabes dorsalis 1 2 traumatic brain or spinal cord injury diabetes mellitus and congenital insensitivity to pain. Is A Rare Cause Of PPT. Paget disease Fibrous dysplasia Neurofibromatosis Charcot joints Chapter 01_1_32_F 22006 232 PM Page 24.
Hence the condition is named after him. Neuropathic Charcot joints H. Joints Pathology is the.
In general the vertebral endplate is infected first with secondary involvement of the disc. The absence of osteoporosis is a characteristic feature of the neuropathic joint. Rheumatoid inflammatory arthritis Pagets disease osteopetrosis osteochondritis G.
Charcot joint by dr khaled abdelbaky Slideshare uses cookies to improve functionality and performance and to provide you with relevant advertising. Reactivation by further trauma is frequent. JOINT CAPSULE-Fibrous capsule of knee joint is complex.
Now considered an inflammatory syndrome the diabetic Charcot foot is characterized by varying degrees of bone and joint disorganization. Complex regional pain syndrome CRPS also known as Sudeck atrophy is a condition which can affect the extremities in a wide clinical spectrumCRPS is principally a clinical diagnosis seen more commonly in females than males with a mean age of presentation of 50 to 70 years 12No one imaging study is sensitive or specific to rule in or rule out the syndrome. Calcium pyrophosphate dihydrate deposition 2.
Maurizio Cutolo in Kelleys Textbook of Rheumatology Ninth Edition 2013. Diagnostic Imaging of Bones and Joints - Diagnostic Imaging of Bones and Joints Introduction to Orthopedic Radiology Why PT s Need to Know About Medical. Late bone and joint.
Acute Rheumatic Fever 4. First described in 1883 this enigmatic condition continues to challenge even the most experienced practitioners. Neuropathic Charcot joint 3.
Diabetic cheiroarthropathy also known as diabetic stiff hand syndrome or limited joint mobility syndrome has been reported in 8 to 50 of all patients with type 1 diabetes and is also seen in type 2 diabetic patients. If not caught in its earliest stage the joints in the foot collapse and the foot eventually becomes deformed. Fracture avascular necrosis infection gout 2.
Anteroposterior radiograph of the right hip of shows the typical features of neuropathic Charcot joint.

Neurogenic Arthropathy Musculoskeletal And Connective Tissue Disorders Msd Manual Professional Edition

Presentation1 Radiological Imaging Of Diabetic Foor And Charcot Join

Dr Sianny Suryawati Sp Rad Departemen Radiologi Fk Uwks Ppt Video Online Download

Presentation1 Radiological Imaging Of Diabetic Foor And Charcot Join

Charcot Joint Neuropathic Joint

Charcot Joint Neuropathic Joint
Clinical Efficacy Of Therapeutic Footwear With A Rigid Rocker Sole In The Prevention Of Recurrence In Patients With Diabetes Mellitus And Diabetic Polineuropathy A Randomized Clinical Trial

Boning Up On Humerus Clavicle And Ac Joint Positioning Radiology Radiology Student Radiologic Technology

First Metatarsal Fracture Indications For Ortho Consult Emergency Medicine Metatarsal Fracture Nursing Study

Epingle Sur Diabetic Neuropathy

Charcot Joint Neuropathic Joint Disease Neuroarthropathy Charcot Joint Disease Neuropathic Osteoarthropathy Ppt Download

Biomechanics Of Shoulder Biomechanics Physiotherapy Student Bachelor Of Physiotherapy
![]()
Charcot Joint Neuropathic Joint Disease Neuroarthropathy Charcot Joint Disease Neuropathic Osteoarthropathy Ppt Download



